PIXNET Logo登入

日初牙醫診所

跳到主文

台南植牙矯正根管治療 牙醫專科醫師聯合診所, 台南市東區東平路243-2號 06-2006801

部落格全站分類:醫療保健

  • 相簿
  • 部落格
  • 留言
  • 名片
  • 10月 15 週六 201100:13
  • 牙齒構造與蛀牙填補

1.jpg
牙齒構造與蛀牙填補
牙齒為一含鈣質的構造, 如下圖所見, 最外層為琺瑯質, 再往內一層為象牙質, 最中間為一含有神經血管等軟組織構造的空心腔室

---------------------------------------------------------------------- 
(繼續閱讀...)
文章標籤

日初牙醫 發表在 痞客邦 留言(0) 人氣(2,352)

  • 個人分類:審美復形
▲top
  • 10月 06 週四 201100:57
  • 關閉上顎正中門牙縫-病例一

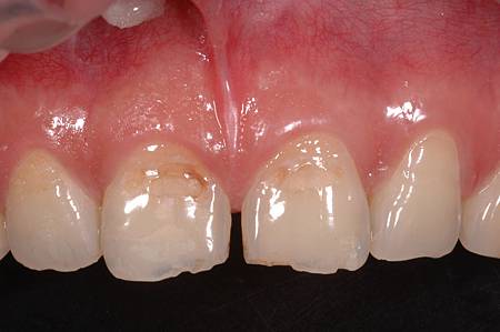
DSC_9488.JPG
關閉上顎正中門牙縫-病例一
患者因為正中不雅觀的門牙縫前來求診
經評估後使用複合樹脂分層填補技術將黑縫填補起來, 患者相當滿意治療結果
(繼續閱讀...)
文章標籤

日初牙醫 發表在 痞客邦 留言(0) 人氣(589)

  • 個人分類:審美復形
▲top
  • 10月 05 週三 201116:53
  • 牙縫的審美填補

DSC_6555.JPG
牙縫的審美填補
當牙齒與牙齒之間並不是排列的非常緊密的時候, 尤其在上顎的正中門牙時, 會有美觀不佳的黑縫, 此時需要使用矯正的方式將牙齒移位而將牙縫關閉, 而因矯正所需時間較長, 有時候可以考慮使用複合樹脂黏著的方式將牙縫填補起來, 此時仍然可以使用牙線, 清潔方式與原來的牙齒相同
(繼續閱讀...)
文章標籤

日初牙醫 發表在 痞客邦 留言(1) 人氣(2,727)

  • 個人分類:審美復形
▲top
1

文章分類

  • 人工植牙 (11)
  • 全瓷牙冠 (3)
  • 牙醫扎記 (1)
  • 刷牙衛教 (4)
  • 假牙牙套 (5)
  • 全口重建 (7)
  • 牙周治療 (2)
  • 根管治療 (2)
  • 齒顎矯正 (2)
  • 審美復形 (3)
  • 口腔外科 (1)
  • 兒童牙科 (3)
  • x光劑量 (1)
  • 關於日初 (1)
  • 未分類文章 (1)

個人資訊

日初牙醫
暱稱:
日初牙醫
分類:
醫療保健
好友:
累積中
地區:

熱門文章

  • (42,882)你知道你所做的牙套爲什麼會變黑嗎?
  • (18,259)什麼是「全瓷牙冠」?
  • (14,155)根管治療後為什麼要做牙套
  • (3,798)植牙與牙橋治療法的比較
  • (2,819)根管治療
  • (1,370)智齒
  • (1,098)人工植牙系列-補骨增高增寬術?
  • (748)人工植牙系列-什麼是植牙?
  • (626)人工植牙系列-使用骨釘扶正臼齒配合
  • (573)併用矯正與植牙的全口重建

最新文章

  • 關於刷牙與牙線的一些小細節
  • 牙周病全口重建病例3
  • 顯微根管治療
  • 108年12月 門診時間表
  • 關於日初
  • 牙周病全口重建病例2
  • 即時拔牙即時植牙病例2
  • 牙周病全口重建病例1
  • 即時拔牙即時植牙病例
  • 前牙審美全瓷冠

文章精選

文章搜尋

參觀人氣

  • 本日人氣:
  • 累積人氣: