- Jun 02 Sun 2019 22:50
-
108年12月 門診時間表
- Sep 24 Sat 2011 23:54
-
你知道你所做的牙套爲什麼會變黑嗎?

建議各位朋友閱讀此篇文章前, 先行閱讀文章分類內的"假牙牙套-牙套的種類", 如此會更了解此篇文章, "牙套變黑"這是個牙醫師最苦惱的問題, 也是許多患者心中的痛, 大概有三種原因會造成牙套變黑
1.金屬瓷牙雨傘效應
- Sep 22 Thu 2011 13:45
-
什麼是「全瓷牙冠」?
- Sep 14 Sat 2019 10:29
-
關於刷牙與牙線的一些小細節
- Jul 17 Wed 2019 22:51
-
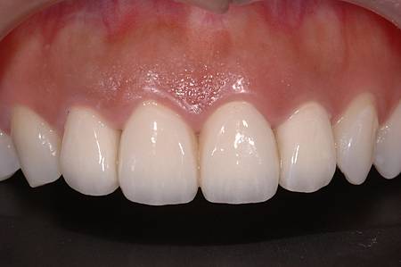
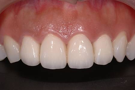
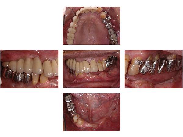
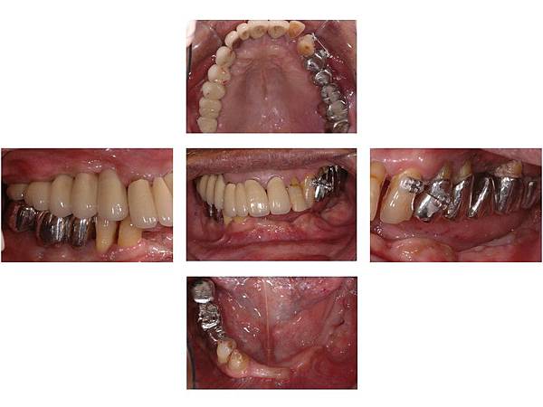
牙周病全口重建病例3
- Jul 14 Sun 2019 23:45
-
顯微根管治療

傳統根管治療是使用肉眼來做治療, 牙醫師在作根管治療的時候, 使用的工具最小的是0.08mm的八號銼針, 因為牙齒的根管系統極為複雜, 所以在工具小, 根管系統複雜的狀況下, 開始有牙科專用顯微鏡的開發與應用, 讓根管治療的結果最佳化, 本診所引進德國萊卡牙科專用顯微鏡, 放大倍率最大40倍, 可以針對肉眼不易察覺的側根管, 副根管, 舊封填材等等做最有效的診斷與治療
- Feb 22 Fri 2019 16:57
-
關於日初

日初牙醫診所位於台南市東區, 以提供大台南地區完善的牙科醫療為宗旨, 診療項目為全科牙醫, 包括人工植牙, 齒顎矯正, 牙周治療, 全口重建, 審美贋復, 全瓷牙冠, 全瓷貼片, 牙齒美白, 口腔外科, 根管治療等治療項目
醫療團隊
- Feb 22 Fri 2019 11:53
-
牙周病全口重建病例2
- Jan 31 Thu 2019 00:17
-
即時拔牙即時植牙病例2
- Jan 30 Wed 2019 23:40
-
牙周病全口重建病例1
- Feb 09 Fri 2018 17:46
-
即時拔牙即時植牙病例







