- Aug 04 Fri 2017 16:06
-
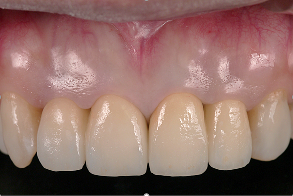
前牙審美全瓷冠
- Apr 12 Wed 2017 23:22
-
以Panadent CPI驗證全口重建顎位的病例
- Mar 20 Mon 2017 23:12
-
我的植牙治療-守破離(給入門醫師們的訊息)
- May 21 Sat 2016 23:23
-
2016 Xive系統課程後記
- Dec 09 Wed 2015 23:15
-
2013三月日本GC行田克則醫師課程

2013年三月, 2012年在QDT雜誌看過行田克則醫師的文章後, 如著了魔般地被吸引, 因緣際會下得知GC東京大本營有HANDS-ON教室, 三月份行田醫師就有一堂課, 於是在台灣而至公司阮小姐的幫忙下報名了東京的課程, 開始了東京的朝聖之旅~
- Sep 27 Thu 2012 16:52
-
使用模型說明貝氏刷牙法(成人適用)
- Sep 27 Thu 2012 15:34
-
使用模型說明兒童刷牙法(0~6歲)

0~6歲的小孩因為精細動作較不熟練, 須請家長幫忙刷牙維持口腔衛生並養成小朋友自己刷牙的習慣
紙模型: 請點選左方文章分類"紙牙齒模型與刷牙衛教"選項後, "牙齒紙模型製作方法"的文章以製作紙模型
牙刷: 盡量小頭(比較可以刷到死角), 刷毛愈軟愈好
- Sep 27 Thu 2012 13:18
-
衛教用牙齒紙模型製作方法
- Apr 11 Wed 2012 16:48
-
關於x光的劑量
- Dec 15 Thu 2011 16:34
-
人工植牙摩擦力固持牙冠(friction retention crown)

人工植體鎖入人體後, 接下來就是進行上部牙套的製作, 就如同建築物開始建造地上物一般, 牙套製作方式大致分為四種1.黏著固定式 2.螺絲固定式3.客製化支台+牙套 4.摩擦力固持牙套, 而其中又以磨擦力固持牙套為本診所的特點, 以下介紹摩擦力固持牙冠, 此種作法發明人為鶴卷技工師, 相關網站及文獻如下:
杉山齒科醫院-植牙審美大師 杉山貴彥醫師診所網站http://sugiyama-dentaloffice.jp/
相關著作http://www.dentsply-friadent.com/downloads/2010_Sugiyama_iDENTity2_en.pdf
- Dec 14 Wed 2011 16:46
-
全瓷冠系統的選擇

建議先行閱讀文章分類中的"全瓷牙冠-甚麼是全瓷牙冠"文章後再看本文會更了解本文內容, 全瓷冠的系統有非常多種, 廠商也是百家爭鳴, 故僅就下列兩種常用的全瓷冠系統予以比較
---------------------------------------------







